【記者張俊明/台中報導】現代人壓力大增,顳顎關節障礙症候群(TMJ)已成常見卻易忽略的健康隱憂,症狀多元,影響生活廣泛。中山醫學大學附設醫院整合跨專業資源,成立「顳顎關節障礙跨領域醫療團隊」,以全方位治療模式,成功幫助患者擺脫長期困擾,重獲優質生活。
中山附醫指出,患者曾小姐自2025年初因環境變動、壓力爆增及失眠,陸續出現顳顎疼痛、臉頰緊繃、頭部壓迫、牙齦抽痛及肩頸痠痛等症狀。多種治療無效後,不僅日常受阻,心理也受重創。直到2025年12月,她透過網路得知中山附醫新團隊,迅速就醫,由口腔醫學部與智慧賦能中心聯手,提供跨域整合診療。

經評估,口腔顎面外科呂明怡醫師施作關節腔玻尿酸注射,搭配智慧賦能中心林志峰主任的震波治療。跨專業合作直擊病因,一個月內,曾小姐的疼痛、緊繃、喉嚨異感及肩頸不適大幅緩解,持續治療後,生活品質顯著提升,重拾自信笑容。曾小姐也分享:「過去治療都沒效,直到中山附醫團隊介入,才見曙光。希望我的經驗鼓勵病友堅持尋找適合療法。」

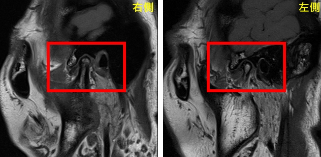
中山附醫口腔醫學部部長暨台灣顱顎障礙症學會理事長余權航醫師表示,此症常伴隨疼痛、咀嚼困難及頭頸不適,成因複雜,涉及關節、肌肉、咬合與壓力,需跨域整合治療。智慧賦能中心林志峰主任補充,中山附醫領先全國推動此模式,融合口腔醫學、物理治療、影像診斷及心理支持,提供全方位照護。未來將深化服務,建構臨床、教學與研究平台,陪伴患者邁向健康生活。

